W ubiegłym tygodniu opisałam wstępne informacje dotyczące neuroobrazowania, gdzie można znaleźć podział metodyczny wraz z najważniejszymi informacjami. Dziś z kolei szerzej skupię się na tomografii komputerowej, jednej z najistotniejszych i najpowszechniejszych technik obrazowania mózgu. Tomografia komputerowa głowy, TK (ang. computed tomography; CT) jest jedną z technologii używanych w neuronaukach do zobaczenia, jak wygląda mózg w środku. Nie jest dokładniejsza od rezonansu magnetycznego, ale czasem nie potrzebna jest duża dokładność. Tomografia komputerowa jest tańsza, ale przez używane w niej promieniowanie – szkodliwa (w przeciwieństwie do rezonansu, który należy do metod nieinwazyjnych). Jest bardzo przydatnym narzędziem w diagnozie neurologicznej.
NA CZYM POLEGA TOMOGRAFIA KOMPUTEROWA?
Założeniem tej metody jest zrobienie zdjęć przekrojowych mózgu, które wyglądają tak, jak na skanach poniżej. Skany te rejestrowane są w wielu płaszczyznach i można z nich stworzyć później model 3D.

Tomografia komputerowa – technologia
Jak to się dzieje, że takie skany mogą zostać wykonane? Otóż źródło promieniowania rentgenowskiego jest obracane wokół głowy dokładnie w płaszczyźnie przekroju, który jest w danym momencie rejestrowany. W tym samym czasie, z drugiej strony głowy znajduje się detektor, który zbiera informacje. Jakie są to informacje? Dane te przedstawiają, jaka ilość promieniowania została pochłonięta przez tkankę, na podstawie tego, ile z tego promieniowania dociera do detektora. Im gęstsza, twardsza struktura, tym więcej promieniowania jest przez nią pochłonięte – możemy sobie wyobrazić, że owo promieniowanie ma trudniejszą drogę do pokonania przez takie obszary i do detektora dochodzi już słabsze. Dzięki temu struktury gęstsze (np. kość czaszki) mogą na skanie zostać zobrazowane w sposób inny niż te bardziej miękkie (np. kora mózgu). Poniżej ilustracja ze strony FDA, która, moim zdaniem, najlepiej obrazuje działanie CT (na podstawie skanu klatki piersiowej, ale przy CT głowy sytuacja jest analogiczna).

X-ray source – źródło promieni rentgenowskich
Beam – wiązka promieniowania
Obracanie się źródła promieni
Możecie zadać pytanie – w takim razie, po co źródło promieniowania się obraca? Wyobraźcie sobie, że źródło jest nieruchome. Promieniowanie pada na tkankę i detektor sczytuje dane tylko jednego przekroju. Zsumowane, pochłonięte promieniowanie zostaje na detektorze zarejestrowane jako liczba. Nie dałoby się zatem stworzyć obrazu 2D tylko z jednego ciągu liczb. Nie jest to informacja kompletna – i właśnie z tego względu źródło się obraca.
Dzięki temu, że sczytana zostaje informacja z wielu kątów, można stworzyć czarno-białą rekonstrukcję całego przekroju. Powstaje ona dzięki matematycznym algorytmom, które wykorzystywane są przez neuroinformatyków. Najczęściej biały kolor odpowiada strukturom, które najbardziej pochłaniają promienie rentgenowskie, a im ciemniejszy, tym bardziej je przepuszczają. Można też spotkać się z kolorowymi tomogramami, ale nie wynika to z innej technologii rejestrowania obrazu, tylko z post-processingu (czyli z przetwarzania skanu już po zakończeniu rejestracji). Takie barwienie skanów nosi nazwę pseudokoloru, odbywa się za pomocą specjalistycznych programów komputerowych i głównie służy rozróżnieniu struktur.
Żeby podnieść dokładność obrazowania, badanemu mogą zostać podane środki kontrastowe, czyli takie substancje, które mają odpowiedni współczynnik pochłaniania promieni rentgenowskich. Najczęściej używa się ich do obrazowania naczyń krwionośnych albo struktur miąższowych i podaje się doustnie lub dożylnie. Celem jest jak najdokładniejsze zobrazowanie zmian w organizmie.
PRZYKŁADY CHORÓB, KTÓRE MOŻNA WYKRYĆ ZA POMOCĄ CT
Zanim podam przykłady chorób, chciałabym, żebyście wiedzieli, że to właśnie tomografia komputerowa była pierwszą (stosunkowo) nieinwazyjną metodą, która przedstawiła kompletną organizację istoty szarej i białej w mózgu. Użyłam słowa stosunkowo z tego powodu, że promienie rentgenowskie są relatywnie nieszkodliwe w porównaniu z wyjęciem mózgu i pokrojeniem go 😉
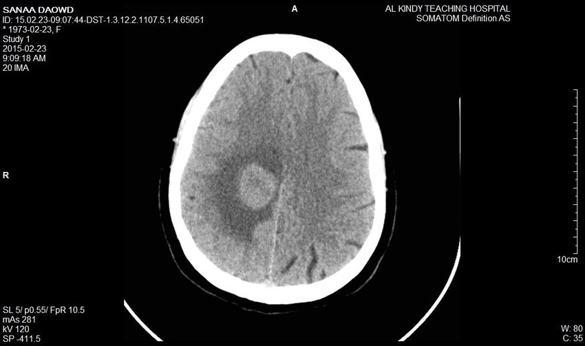
Tomografię komputerową stosuje się najczęściej przy urazach oraz podejrzeniach nowotworów, udarów, krwiaków, ropni, padaczki, czy choroby Alzheimera. A oto przykłady:
Skan CT nowotworu mózgu
Skan CT udaru niedokrwiennego (to ciemne pole)
JAK TO JEST MIEĆ ROBIONY „KOMPUTER” GŁOWY
CT głowy, czy w ogóle jakiejkolwiek części ciała, w porównaniu do rezonansu, jest badaniem przyjemnym. Jest się wsuniętym do ciasnego sprzętu, ale nie ma przykrych odgłosów i jest to badanie szybkie. Problemem może być klaustrofobia, no i promieniowanie rentgenowskie, które jest szkodliwe, ale znowuż nie robi się tego badania dla przyjemności, tylko z konkretnym podejrzeniem medycznym.
Za tydzień opiszę zasadę działania rezonansu magnetycznego. Koniecznie zajrzyjcie, bo będzie sporo ciekawostek ze świata badań neuronaukowych.



No Comments